Conheça os tratamentos realizados na Personal Clinic
A Personal Clinic oferece os melhores tratamentos e procedimentos em Odontologia com alto padrão de atendimento e compromisso com a sua saúde oral.
Clareamento
É o tratamento odontológico que utiliza substancias químicas, normalmente gel, a base de peróxido, que tem a finalidade de modificar a cor do dente. O Clareamento tem 3 tipos: Interno: tratamentos endodônticos ( canal ) podem manchar os dentes devido aos...
Clinica geral
Um sorriso bonito e saudável pode aumentar a sua auto-estima e criar muitas oportunidades. Através da Personal Clinic você pode ter acesso a diferentes técnicas e tratamentos tais como: – Restaurações; – Selante; – Limpeza; – Tratamento de canal; – Extração de dentes; – Aplicação de...
Endodontia
É a especialidade da odontologia que cuida da polpa dentária, região dentária que aloja o nervo do dente. Quando um problema afeta a polpa dentária de forma irreversível, é necessário a remoção da parte viva visando preservar a estrutura mineral...
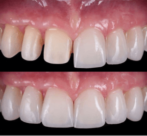
Facetas e Lentes de Contato
Facetas e lentes de contato são trabalhos odontológicos feitos de porcelana indicados para correção do formato, tamanho ou cor dos dentes. A diferença entre a faceta e a lente é a espessura do material, que quando possível ajuda a diminuir...
Harmonização Facial
É o conjunto de procedimentos estéticos que tem por objetivo harmonizar, integrando a estética do rosto com a da boca. Os tratamentos de harmonização facial podem envolver tratamentos a laser, microagulhamento, preenchimento faciais com toxina botulínica e bichectomia. A aplicação da toxina...
Implantes
Implantes dentários são suportes ou estruturas de metal posicionadas cirurgicamente no osso maxilar abaixo da gengiva. Uma vez colocados, permitem ao dentista montar dentes substitutos sobre eles. Por serem integrados ao osso, os implantes oferecem um suporte estável para os dentes...
Odontopediatria
É uma especialidade que tem por objetivo o diagnóstico, a prevenção, o tratamento e o controle dos problemas de saúde bucal do bebê, da criança e do adolescente. Odontopediatra é o Cirurgião Dentista com formação técnica e científica que o capacita...
Ortodontia
É a especialidade que busca prevenir e tratar problemas de crescimento, desenvolvimento e posicionamento da face, arcos dentários e suas relações. Dependendo da faixa de idade do paciente, a ortodontia pode apresentar posturas diferentes. Numa idade mais jovem, a orto adquire...
Próteses
É a especialidade que realiza trabalhos que visam repor os elementos dentários perdidos e as funções necessárias promovidas pelos dentes. Existem diversas tipos de próteses, sendo as mais conhecidas: Prótese total: conhecidas como dentaduras, são indicadas para pacientes desdentados Overdenture: conhecida como dentadura...
Reabilitação Oral
É a área da odontologia que agrega conhecimento de diversas especialidades como a periodontia, endodontia, prótese, implantes e ortodontia. A reabilitação busca tratar os casos mais complexos onde vários problemas atuam ao mesmo tempo. São os tratamentos mais longos e...










